Braces Procedure
Braces Types
Braces Cost
Dental Braces @ Rs1000/Month
What is Dental Braces or Orthodontic treatment?
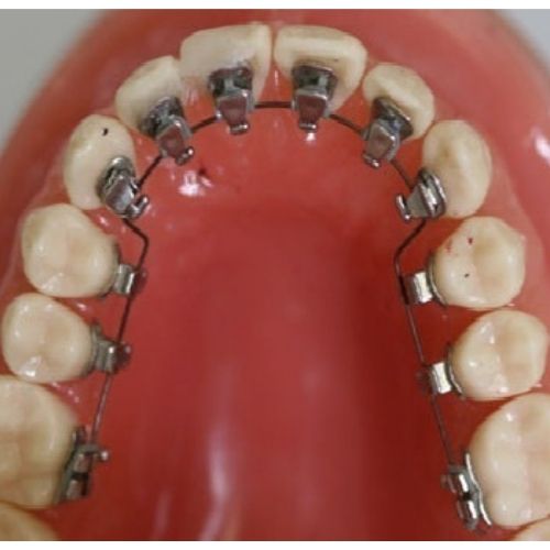
Dental Braces are appliances made up of metal or ceramic brackets and are used to straighten teeth.
Dental Braces are installed by the dentist in your mouth to align your misaligned teeth.
Dental Braces comprises of wire(stainless steel or NiTi) & Brackets (metal/ceramic) which as a whole attached to your teeth with some dental adhesives called composites.
Wires stay in bracket slots with the help of some elastics or without elastics.
Dental Braces comes under the specialty of Orthodontics so also known as Orthodontic Treatment.
CAN BRACES CHANGE YOUR SMILE OR FACE?
YES, FOR SURE.
We had many patients who don’t even laugh because they think that they have bad teeth. Some cannot even raise their eyes to talk or smile naturally.
BRACES CAN CHANGE YOUR APPEARANCE, SMILE, AND YOUR LIFE.
Early treatment can even help to change the way you breathe, lips position, improve your facial esthetics, your self confidence.
By aligning teeth, changing how your teeth overlap (reducing overbite and overfed), which changes how your lip lay against your teeth. These are limitations to how much can be changed, which is why orthognathic surgery is done in conjunction with orthodontics.
TYPES OF DENTAL BRACES

Metal Braces
These are made of high quality stainless steel and many orthodontists feel that they are most effective devices for straightening teeth, especially in cases where these may be severe misalignment. We prefer traditional metal braces for adults in most cases as they are very durable, highly used and fit the budget of most parents or adults with braces. Although metal braces have been used for several decades, they still do the job just well as other type of braces.

CERAMIC BRACES
These braces are almost tooth colored unlike the metallic braces that are not very pleasant to look at hence are more acceptable by patients. Ceramic braces for adults are fitted to the front of the teeth and match the color of one’s teeth. Many people who want their braces to be less conspicuous for aesthetic or professional reason prefer clear ceramic braces.

METAL SELF-LEGATING BRACKET
They look like traditional metal brackets, and tooth color ceramic self legating brackets. They look like natural tooth color, and are less noticeable than others. Because of their self legating brackets provide many advantages during initial stages of treatment. Larger amount of free wire (not bound by elastic or ties) enhance the working properties of the wires and allow for lighter forces to be delivered to teeth, which allows teeth to align more efficiently and more comfortably at the outset of treatment. Compared to traditional braces, self-legating braces require 40 % less orthodontic appointments. If you are looking to have an orthodontic treatment that goes unnoticed by family, friends and peers.

LINGUAL BRACES
It is also known as ‘inside braces’ because it is placed on the inner aspect of the tooth as compared to regular ‘outside ones’. They have been known to cut up the surrounding areas of your mouth a bit and be uncomfortable, however, this form of braces is relatively popular among celebrities and spokesperson around the for their invisible appearance while working the same way traditional braces do. It is also common to have lingual braces on upper jaw of teeth and then traditional on the bottom jaw.

SELF LIGATING BRACES
All braces discussed above have a slot into which the orthodontic wire is placed. Self-legating brackets are simply braces that have doors or clips to hold the wire in the slot without the need of elastic or steel ties to be added. This make the changing and securing wires easier at appointments, eliminates the need for additional appointment. Simply to change the ties, can allow for the wire to move and work more freely because they are not tied down, and without the elastic ties less bacteria and bacterial byproducts collect on and around the braces within the category of self-legating. They are two forms of self legation: - metal bracket and ceramic bracket.

INVISIBLE/INVISALIGN/ALIGNER
Invisible braces consist of a series of 18-30 custom made, mouth guard like clear plastic aligners. These aligners are custom made to specifically fit an individual. These set of aligners are changed every two weeks. They are a major boost in the field of cosmetic dentistry. By using aligners, teeth shift with each new aligners given until the results are optimal. The average cost of these invisible braces starts from Rs. 1lakh, so if budget is of importance, then you may want to avoid these.
Braces vs Clear Aligners – Which is Right for You?
| Treatment Type | Visibility | Suitable For |
|---|---|---|
| Metal Braces | Visible | Moderate to complex cases |
| Ceramic Braces | Less visible | Aesthetic-conscious patients |
| Self-ligating Braces | Less visible | Faster treatment needs |
| Clear Aligners | Nearly invisible | Mild to moderate corrections |
Cost of Dental Braces in Delhi
The cost of dental braces or aligners depends on the type of treatment, complexity of the case, and treatment duration. At Ganpati Dental Clinic, we follow transparent pricing and explain all treatment options before starting orthodontic treatment.
Flexible payment options may be available depending on the treatment plan.
The cost and types of braces are as follows:-
There are major five types of braces used by us.
- METAL BRACES: – They are traditional braces. Its price rises from 18000-30000. And you have to pay Rs 2500 as down payment and then Rs.1000/month.
- CERAMIC BRACES: – They are tooth color braces. Its price ranges from 30000-45000 and
You have to pay Rs 5000 down payment and then Rs2000/month.
- SELF-LEGATING BRACES (METAL):- Metal braces with door to hold wire. Its price range from 40000-55000 and you have to pay Rs.10000 down payment and then Rs 3000/month.
- SELF-LEGATING BRACES (TOOTH COLOR CERAMIC):- Same as above that but are tooth color. Its price range from Rs 70000-Rs 10000 and you have to pay down payment Rs 35000 and Rs 3000/month afterwards.
- INVISIBLE BRACES/INVISALIGN/ALIGNESS: – They are removable braces. Its price is around Rs. 1, 00,000 of teeth extraction are not required and around Rs 1.5lakh of teeth extraction are required and you have to pay whole amount up front.
Dental Braces treatment procedure for teeth alignment, Step by step
First step:- Dentist consultation
We will analyse your teeth position and will plan your treatment.
For planning, we will take your impression & photographs for further analysis.
Some Xrays may also be advised to you for checking any bone-related problem.
Second Visit: repairing any damaged teeth
we will first clean your teeth and will do filling in teeth which have a cavity.
Third Visit: Braces installation
After planning and selecting the type of braces, we will start placing them on your teeth.
for this, we will adhere bracket on your tooth with help of glue and insert the wire into the bracket. for bracket installation, we may call you 2-3 times.
After braces installation, we will give you dietary instructions.
Now onwards, you will be called every month for tightening of wires, for extraction, for change of wire and rubbers etc till treatment is finished.
At the end of treatment, your teeth will get aligned in the desired position. you will be given a retainer to wear.
The retainer may be removable or fixed.
A retainer will help your teeth to remain in the same position which has been achieved in the end of orthodontic treatment.
Dental Braces age limit (at 30,40, 50 or teenage)
There is no age limit for getting dental braces.
Only criteria to get braces is healthy bone and gums. If your gums are not healthy at age of 15 then you should not get braces and if your gums are healthy at age 60 then braces will improve your smile.
Sometimes in teenage, Dentist may advise you to wait for braces till all of your permanent teeth comes out.
Dental Braces Benefits & function
Dental Braces correct the alignment of your teeth.
a) They improve facial appearance
b) they improve chewing efficiency
c) they improve speech problems.
d) They help to get you a beautiful smile
e) They align teeth so that they are are easy to clean
Dental Braces side-effects or after effects
There may be few problems associated with dental Braces such as
Mild discomfort
Irritation of gums
Ulcers
Difficulty in Eating
Calculus deposit due to improper cleaning
Relapse of treatment- Teeth going back to previous position, If patient does not wear retainer.
Dental Braces Do's and Don't
Do’s
- Follow up routine of dental check ups.
- Do clean your teeth properly with orthodontic brush or interdental brush.
- Do use mouthwash to avoid bacterial infection.
Don’ts
- Don’t bite fruits and vegetable directly from front teeth. Cut them into pieces.
- Don’t chew sticky food or hard candies
- Don’t chew on chewing gums
Don’t miss appointments
Dental Braces Extraction & without
Dental braces problems can be divided into skeletal and dental.
In the case of skeletal problem, it can be corrected if it is noticed when the child is 8 to 10 years (early during growth spurts) using orthodontic appliances.
If the patient reports late for the treatment, that is after the period of active growth spurts and growth has completed like a boy after 14 years and girl after 12 years, orthodontic surgery can be performed to correct the defect.
If the person does not want to opt for surgery, the only treatment option left is camouflaging the defect.
This camouflaging can be done by extracting the Premolars, either 1st or 2nd premolar based on the amount of space required which is determined after photographic, model and face analysis. Even in case of a dental defect, it can be corrected by extraction followed by taking your teeth inside.
After the teeth are extracted, the space obtained is used to push the teeth back so as to give an effect of normally placed teeth.
This going back of teeth is not possible if there is no space available.
This is why u need to extract your teeth. And your Dentist is right. The open bite has a poor prognosis when compared to all the other orthodontic problem.
The treatment options are also not as vast as those available for other defects. There is also an increased chance of relapse post-treatment.
Frequently asked questions
Braces or orthodontics brackets aren’t as simple as they look. They have got various mechanism build in them to facilitate tooth movement.
Orthodontic is a science which involves moving teeth through bone, which is hard and even slightest mistake can lead to serious result on your jaw.
So, our changes depends upon various things like
- Appointment over a few years.
- Types of braces.
- Mechanism of braces.
- Cost of sterilization of equipment.
- Time spent in laboratory.
- Any extra armamentarium used.
Overall, the benefits to you long term dental health that braces can bring will outshine the short term annoyance of having braces.
Orthodontic treatment can produce dramatic positive changes to how your bite functions, to your airway, to your facial appearance, and to how your face ages, but it is unclear on how all these positive changes relate to long term dental health.
There are some circumstances where orthodontic has been shown to have a fairly direct effect on dental health:
- Cross bites if incorrect lead to decreased biting force, alternation in chewing mechanism, abnormal tooth-wear and effect growth of jaw growth in children.
- Correcting deep bites that impinge on your gums is beneficial since this will prevent the resulting racisms.
Braces can be worn as early as between 10-12 years of age. Even adults as old as 40-45 years can begin braces treatment provided they satisfy all required criteria. The earlier the better is the Mantra as with changing dental status of a patient and the growing jaw; it is easier to incorporate desired changes in a shorter spam of time with more variety of treatment appliances. Outcomes are also better at younger age. In adults, treatment is limited only to teeth movement and treatment is slow. But yes, treatment can be done with good result.
We generally try to avoid removal of teeth, but if there is severe crowding, removal of one or more teeth might be necessary. Sometimes, people even have extra teeth need to be extracted because they push other teeth out of position or have emerged in the wrong area of the jaw, such as behind, in front of, or above other teeth.
Each patient is treated according to their own unique orthodontic issues, so there are several factors we have to take into consideration when looking at an estimated orthodontic treatment time. These can rise from the age of the patient, to their adherence to recommendation, to the severity of their case. Because we can’t predict exactly how a patient will respond to treatment, the treatment times will vary from person to person.
Even though there’s no answer set in stone when it comes to the total time you will be in braves, taking all factors in the consideration, braves tend to be worn for anywhere from roughly one to these years on average for comprehensive treatment.
In an average for most of the cases involving extraction of teeth takes 1.5 years to 2 years maximum special cases may need additional few month treatments. Non extraction cases will get completed by 1 year of treatment time. Wondering which factors play a part in determining treatment times? The single biggest factor in determining the length of time you will need to be in braves is the severity of your specific case. We also look at things like: –
- The amount of room, available in your mouth.
- The distance the teeth will have to travel to meet the goal
- The health of your teeth, gums and supporting bone.
- How closely you follow instruction.
For those who have not heard of braces, one of the most common questions is ‘are braces painful’. It’s a natural feeling; everybody wants to know about what’s coming and what they have to bear?The good news is braces are not painful, they might be discomforting. And this discomfort generally is temporary. So, here is quick summary of exactly what to expect.
Ganpati Dental's Services




















Want to learn skills of orthodontic braces treatment?
We also provide dental education to our fellow dentist. If you are interested in joining us please click following link
